索诺星无线超声在村卫生所的临床应用情况总结
- 2023-03-03
- 6215
- 索诺星医疗科技
福建省三明市夏茂镇岩观村卫生所
便携式掌上超声设备临床应用情况总结
2017年9月14日至11月7日,在三明市卫计委的支持下,我村部卫生所有幸参与了广州索诺星信息科技有限公司在福建省三明市沙县夏茂镇岩观村开展的便携式掌上超声试点临床应用,现将近2个月的使用情况总结如下。
一、便携式掌上超声使用几点感受
操作简单,上手快。村诊所医护人员普遍文化水平为中专及以下学历,专业技术层次较低,试点投入期间,厂家联合北京大学第三医院超声科医生对我们进行了一天的集中培训,让我们在较短的时间内初步掌握了索诺星便携式掌上超声机(1台线阵系列:用于浅表组织检查;1台凸阵系列:用于腹部、前列腺、妇科、心脏等检查)的使用技术及与手机、iPad的连接、超声识图检查技巧和人体内脏分布等内容,了解了很多平时我们无法学习到的知识,大大提高了我们检查的准确性。有力缓解了农村医学技术难等问题。
2.数据精准。经过近两个月的试点数据采集,截止至2017年11月7日,试点村夏茂镇岩观村卫生所共检查人数151人,发现胆囊息肉9人,肾结石23人,肝血管瘤2人,肝囊肿30人,胆结石25人,颈动脉粥样硬化78人,肾囊肿33人,甲状腺肿20人, 肝钙化灶37人等;上述病例经与上级医院复查结果比较,检测数据及结果一致。
3.使用方便。从近2个月的使用情况来看,便携式掌上超声机具备体积小巧、便于携带;探头与平板无线连接,使用自由;整体防水便于消毒;远程检查方便;电池容量大等特点,有利方便了乡村医生走村入户检查,满足了农村病人出行不便的看病需求。
二、便携式掌上超声农村投入的意义
1.有利于缓解看病难。岩观村离夏茂镇卫生院都较远,到镇卫生院约8公里路程,存在交通不便、出行不易等难题,便携式掌上超声设备为实现村民家门口就医特别是行动不便之人的上门就医,省去病人来回奔波及到大医院排队之苦,提供了有效的探索和实践,大大缓解看病难问题。
2.有利于提高诊疗准确度,降低误诊率。B超检查、如配上大数据云服务远程检查功能可提高疾病检查的准确性并提高工作效率,降低误诊率,可有力解决村医专业技术层次较低造成的延误治疗等难题,缓解病人对村医技术的疑虑,把国家分级诊疗医改政策真正落到实处。
3.有利于提升农村医疗技术水平。医疗设备在农村极其缺乏,村民对乡村卫生所普遍存在着信任度不高等问题,便携式掌上超声的医疗设备的投入能够大大提升乡村卫生所的医疗技术水平,缓解大医院门诊压力,也造福广大农村百姓。
三、几点建议
1.加大培训力度,提高对B超设备识图检查能力。
2.通过互联网建立大数据平台,将检测结果通过大数据平台交由上级医院医生评定,提高工作效率,缓解病人来回奔波之苦及村医无B超执业资格的难题,真正实现分级诊疗目的。
3.村诊所医疗设施配套水平低,尤其缺乏检测设备,大型B超机价格昂贵,村诊所很难普及;便携式掌上超声价格便宜希望能给村诊所配套投放一台,化解农村百姓看病难问题,真正造福农村百姓。
四、检查病例
以下举例说明本次投放的意义。以下病例如无便携式掌上超声设备,病人的真正病因根本无法确诊。
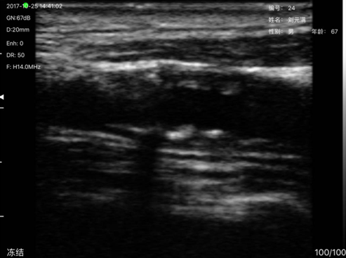
病例1病人刘x满,男,67岁,该病人原来一直反馈头晕,到我所就诊多次,由于缺乏检验设备一直检查不出原因,也未到大医院进行检查,本次有了设备后发现其颈动脉有异常,其到沙县医院复诊后确诊为颈动脉粥样硬化斑块。

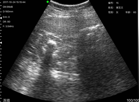
病例2姓名:刘x兰,性别:女,年龄:60岁,到我所就诊多次,但一直无法确诊具体何原因引起,但老人又特别能忍,未到大医院检测,本次发现其肾有大量亮点,疑似有结石,其到沙县医院复诊后确诊为肾结石,确诊报告与掌上B超机检测结果一致。

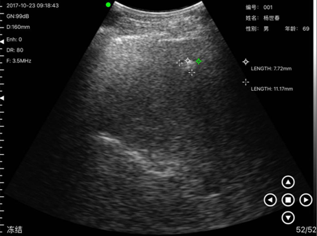
病例3姓名:杨x春,性别:男,年龄69岁,通过掌上B超设备检测发现其肝部有异物,到沙县医院复诊确诊为肝血管瘤。

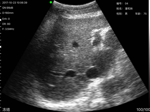
病例4,姓名:潘x妹,性别:男,年龄:75岁通过本次掌上B超检查,发现其肝部异常,经上级医院确诊肝囊肿。

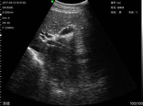
病例5,姓名:谢x清,性别:男,年龄:71岁,本次发现其胆囊周边有异物,经到上级医院复查为胆囊息肉。

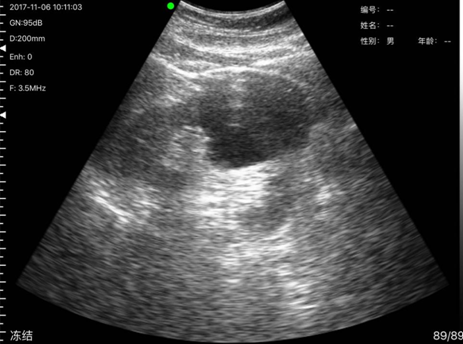
病例6:姓名:谢x平,性别男,年龄71岁,经检查发现其肾异常,经到上级医院复查,确诊为肾囊肿。

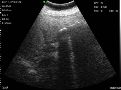
病例7,姓名:罗x姬,性别:女,年龄69岁,发现其胆囊有两亮点疑似胆囊结石,后经上级医院复查确诊为胆囊结石。

胆囊结石与上级医院复诊结果一致

胆囊结石
五、总结
通过这两个月的使用,我们发现农村地区由于饮食习惯及不健康饮食等问题,造成很多疾病,尤其是肝肾囊肿和结石病查出率非常高,具体原因待查。原来由于缺乏相应检测设备,很多疾病一直无法发现,甚至有些由于发现迟,还耽误病人治疗时间,如果在农村地区能拥有这样一台设备,将大大方便农民群众的日常生活,大大缓解看病难问题,造福农村百姓。

图(1)卫生所现状
图(2)北京大学第三医院医生在给村民检查演示传授超声检测方法
图(3)试着帮村名检查身体
图(4)认真学习
图(5)感谢老师传金送宝
图(6)我们都很爱学习
图(7)感受一下神奇的掌上B超机
图(8)感恩老师手把手的传授
另外本调研得到中国医学装备协会超声技术分会支持和指导,谨此感谢。






















网站首页
产品中心
服务支持
联系咨询